DOB: 16.5.2024
Deutsch Kurzhaar
korrektes Welpengebiss
Korrektes und vollzahniges Scherengebiss
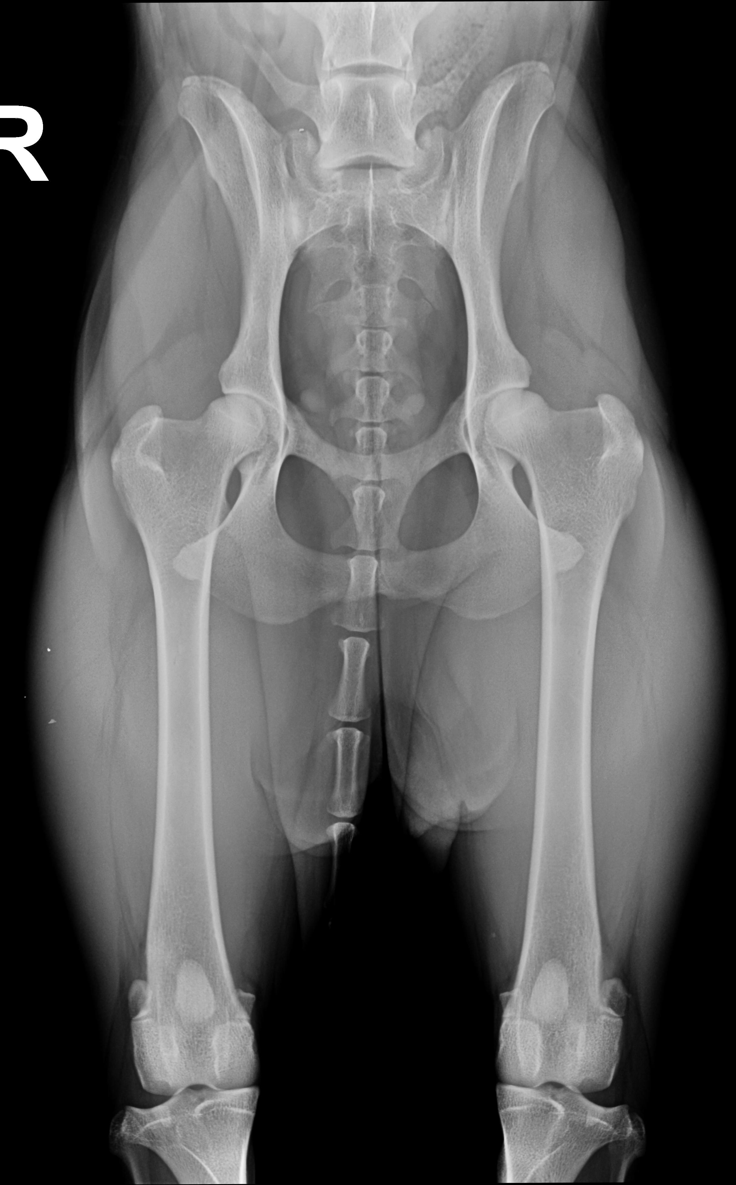
HD A2*, ED0, OCD frei, LÜW 0, Spondylose frei, Herzultraschall 14 Monate frei
* Dr Lämmer wertete T Rex HD B1 aus, darauf hin liess ich ein weiteres Gutachten bei Obergutachter Dr. Tellhelm anfertigen, der T Rex mit HD A2 auswertete. Dieses Ergebnis wird allerdings nur offiziell übernommen wenn ich meinen Hund erneut nach 6 Monaten Sperre in Narkose röntgen lasse und dieses Ergebnis noch einmal bestätigt wird. Bei aller Liebe diesem unnötigen Risiko setze ich meinen Hund NICHT aus. Ich habe keine Geheimnisse, deshalb lasse ich ihr Röntgenbild hier für alle transparent hoch:


Titel:
- Dt Jgd Champion VDH
Prüfungen:
- Derby 1. Preis
- Solms 1. Preis, Suchensieger 4h stöbern lebende Ente in deckungsgleichen Gewässer
- Begleithundeprüfung mit 59/60 Punkten, Platz 1
Und hier kommt ein lang ersehnter Traum: Eine Deutsch Kurzhaar Hündin für Jagd, Sport und Zucht! Du wirst unser Leben in vielen Dingen komplett verändern.
… Bente alias T Rex, so heißt sie bei uns. T Rex ist ein aufgewecktes, mutiges und über alle Maße freundliches Deutsch Kurzhaar Mädchen. Mit ihrer Art und ihrem Charme bereichert sie nicht nur unser Rudel sondern ist ein wichtiges Bindeglied in vielen Kommunikationskursen der Hundeschule. Sie hat auf alles Lust und ist bei allem mit großer Freude dabei.
Jagdlich hat T Rex sowohl in ihrer Derby als in ihrer Solms ihre jagdlichen Anlagen gezeigt und beide Prüfungen in Höchstpunktzahl abgelegt.
Im Sport haben wir im Zughundesport begonnen und sie wird am 21.9.2025 ihre Begleithundeprüfung machen
Rennergebnisse:
- Speedhunter Strohwinkel, Canicross, Pace 3:30min, Platz 5
- Speedhunter Ladenburg, Bikejöring kurz, Pace 2:01min, Platz 5
- Speedhunter Mannheim, Bikejöring kurz, Pace 1:59min , Platz 2
- Speedhunter Sandhausen, Bikejöring kurz, Pace 2:03min , Platz 3
- Speedhunter Feudenheim, Bikejöring kurz, Pace 2:15min, Platz 7
- Speedhunter Lussheim, Canicross kurz, Pace 3:11min, Platz 10
- Speedhunter Lussheim, Bikejöring kurz, Pace 1:54min, Platz 6
- Speedhunter Gersbach, Canicross kurz, Pace 3:21min, Platz 4
- Speedhunter Gersbach, Bikejöring kurz, Pace 2:10min, Platz 2
- Speedhunter Cup Rangliste Canicross kurz Platz 3, Bikejöring kurz Platz 1
Ausstellungsergebnisse:
- Offenburg 15.3.2025, Jugendklasse, V1, JCAC, JCACIB, bester Junghund, Ortenaujugendsieger
- Offenburg 16.3.2025, Jugendklasse, V1, JCAC, JCACIB, bester Junghund, Ortenaujugendsieger, beste Hündin, BOB Best of Breed, Ortenausieger
- Kreuth-Rieden, 17.5.2025, Jugendklasse, V1, JCAC, JCACIB, bester Junghund
- Kreuth-Rieden, 18.5.2025, Jugendklasse, V1, JCAC, JCACIB, bester Junghund
- Ludwigshafen, 16.8.2025 Zwischenklasse, V2
- Ludwigshafen, 17.8.2025, Zwischenklasse, V2
- Karlsruhe, 29.11.2025, Zwischenklasse, V1, CAC, CACIB, beste Hündin
- Karlsruhe, 30.11.2025, Zwischenklasse, V1, CAC, CACIB, beste Hündin, BOS
- Offenburg 14.3.2026, Zwischenklasse, V1, CAC, CACIB, beste Hündin, BOS
- Offenburg 15.3.2026, Zwischenklasse, V1, CAC, CACIB, beste Hündin, BOS












































